Immune system: Natural killer cells have a memory

Jun 13, 2016

Research teams at LMU Munich and Bonn University have decoded an autoimmune mechanism that enables so-called natural killer cells to attack chemically modified skin cells, and reveals that these immune cells exhibit immunological memory.

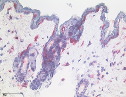
Histological section of the skin of a mouse that had been repeatedly exposed to a contact allergen. The macrophages (purple) surround the hair follicle, which contains the pigmented melanocytes that process and activate the allergen. (Image: Christian Hagen, Bonn University Bonn)

Veit Hornung, who holds the Chair of Immunobiochemistry at LMU’s Gene Center, and researchers at the University of Bonn have uncovered a new mechanism which triggers the immune system to specifically attack pigmented cells in the skin. It was previously believed that, unlike B- and T- cells, so-called natural killer cells do not exhibit immunological memory for the body's own tissues. However, the new work shows that these specialized immune cells can indeed “remember” pigmented cells when they come into more frequent contact with a specific contact allergen. The new findings have now been published in the renowned scientific journal Immunity.

Pigmented cells of the skin serve a crucial function as a protective shield against UV radiation, as the tanning reaction that occurs when skin is exposed to strong sunlight is dependent on the action of the enzyme tyrosinase found in these cells. The greater the exposure to sunshine, the more pigments are formed by the enzyme. Topical application of the chemical monobenzone to the skin can lead to specific inactivation of tyrosinase, thereby triggering a stress reaction. As a result, the immune system attacks the affected pigmented cells. A frequent consequence is vitiligo, which leads to milky-white, unpigmented areas on the skin.

Previous studies have shown that people with vitiligo are at lower risk of developing malignant melanoma. Hence, actively triggering vitiligo with the tyrosinase blocker monobenzone could provide a possible method for treating this type of cancer. “The idea is to use a less severe disease as a weapon against malignant melanoma,” says Dr. Jasper van den Boorn from the Institute of Clinical Chemistry and Clinical Pharmacology at the University of Bonn, who previously demonstrated the fundamental feasibility of this option.

“However, the initial mechanism by which the immune system identifies the monobenzone-exposed pigmented cells as ’non-self’, before attacking them, has been unclear so far," says Prof. Veit Hornung, who recently moved from the University of Bonn to LMU. It is known that monobenzone has a contact-sensitizing effect on pigmented skin: In principle, the compound itself is inactive. But when monobenzone docks onto the tyrosinase, it reacts with and chemically modifies the enzyme, generating a so-called hapten in the pigmented cell. This is a newly formed “foreign structure” that can specifically activate the immune system. By repeatedly applying low doses of monobenzone to mouse skin, the researchers then explored this activation pathway in detail.

The way in which the animals' immune defense reacted to this hapten amazed the researchers. “Normally the immune system mobilizes a mixture of various types of white blood cells to attack hapten-exposed tissues,” reports Dr. van den Boorn. “However, multiple exposures to monobenzone induced only natural killer cells to recognize and attack the pigmented cells.” Natural killer cells are part of the innate immune system and kill abnormal cells - such as cancer cells or virus-infected cells. Previously, immunologists believed that they did not have the capacity to remember and specifically attack the body's own tissues. Up to now, only T and B lymphocytes, which belong to the adaptive immune system, have been shown to have this ability.

“However, our results clearly show that natural killer cells can also mount a long-lasting and effective immune reaction against the body's own pigmented cells, including malignant melanoma cells,” says Prof. Dr. Gunther Hartmann, Director of the Institute of Clinical Chemistry and Clinical Pharmacology of the University of Bonn. The researchers established this by studying mice that were unable to form any functional T and B lymphocytes. In spite of this, when these mice were exposed to monobenzone, white spots still developed in the animals' fur, and previously transferred malignant melanoma cells were destroyed, because the mice’s natural killer cells remembered and attacked the pigmented cells.

In order for this immune response to occur, a fail-safe mechanism called an immune checkpoint must first give the go-ahead – the NLRP3 inflammasome. “This is a protein complex that integrates multiple pieces of signaling information in macrophages, which are special phagocytes that reside in tissues. Once switched on, macrophages then decide whether immune cells, including natural killer cells, receive their marching orders,” explains Prof. Dr. Veit Hornung. Indeed, when the researchers incapacitated this checkpoint, the monobenzone-induced tyrosinase hapten failed to trigger the typical immune reaction mediated by the NK cells. (Immunity, DOI: 10.1016/j.immuni.2016.05.008)